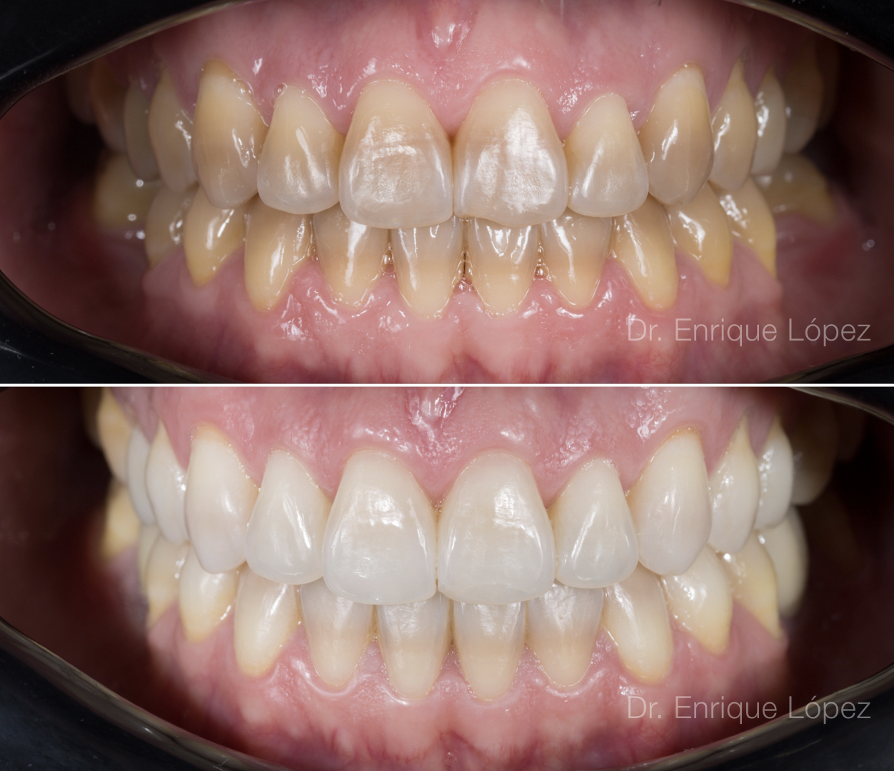
Blanqueamiento

¿Quién dijo que los dientes teñidos por tetraciclinas no se pueden blanquear? En Clínica Dental Vicálvaro te ayudamos a mejorar el color de tus dientes sea cual sea tu problema.